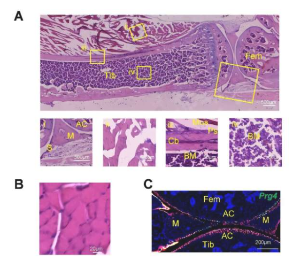
宾夕法尼亚大学佩雷尔曼医学院的研究团队发现,骨骼肌中的Prg4+干细胞能够转化为骨细胞,显著促进骨折修复。这项研究成果发表在《美国国家科学院院刊》上,为治疗严重骨折提供了新思路。
研究团队通过小鼠实验证实,Prg4+干细胞能快速迁移至骨折部位,并分化为软骨细胞、成骨细胞等多种修复细胞。资深作者Ling Qin教授表示:"这种方法利用人体自身修复机制,使愈合过程更高效。"实验显示,当人为破坏这些干细胞时,骨骼修复速度明显减缓。
该发现对开放性骨折等严重损伤具有重要临床意义。合作研究者Jaimo Ahn博士指出:"这一机制在肌肉较少的部位如膝关节,以及老年患者的治疗中可能发挥关键作用。"目前研究团队正探索通过生长因子或直接注射干细胞的方式增强修复效果。
这项研究突破了传统骨膜干细胞修复的理论局限,首次证实肌肉干细胞可转化为骨细胞。团队计划进一步研究其他类型干细胞的修复潜力,以拓展临床应用范围。
更多信息: Qi He 等,《肌肉中的Prg4+纤维脂肪生成祖细胞对骨折修复至关重要》,《美国国家科学院院刊》(2025)。期刊信息: 美国国家科学院院刊













京公网安备 11010802043282号