索尔克研究所科学家发现一种新型微生物蛋白SLC35A4-MP,该蛋白对维持线粒体结构和代谢平衡具有重要作用。这项研究于2025年8月29日发表于《科学进展》期刊,为理解代谢疾病机制提供了新视角。
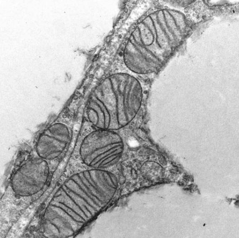
研究人员通过基因技术移除小鼠棕色脂肪细胞中的SLC35A4-MP后,观察到线粒体结构受损和代谢功能异常。在冷暴露实验中,缺乏该蛋白的小鼠无法有效调节体温,并出现炎症反应。这些现象表明SLC35A4-MP在应对代谢应激过程中发挥关键作用。论文第一作者Andréa Rocha表示:"SLC35A4-MP是首批在小鼠体内完成功能鉴定的微生物蛋白之一,其调控功能表明微生物蛋白在健康调节中不容忽视。"
该研究源于2024年春季的发现,当时团队在信使RNA链的上游开放阅读框中识别出SLC35A4-MP的遗传密码。资深作者Alan Saghatelian指出:"微生物蛋白长期被视为随机遗传物质,但我们的研究证明它们确实是细胞生理学的关键调节因子。"研究团队采用冷冻电子显微镜和代谢分析等技术,证实该蛋白存在于线粒体壁中,并参与能量平衡调控。
微生物蛋白研究领域正在持续扩展。科学家认为,针对SLC35A4-MP的进一步研究可能为肥胖、衰老等线粒体相关疾病提供新的治疗方向。目前索尔克研究所已开展后续研究,旨在探索更多功能性微生物蛋白的生理机制。
更多信息: Andréa L. Rocha 等人,SLC35A4-MP 基因敲除小鼠棕色脂肪组织线粒体结构和功能异常,Science Advances (2025)。期刊信息: Science Advances













