华盛顿大学医学中心研究人员发现一条起源于大脑的强效通路,能在不减少食物摄入的情况下减少全身脂肪。相关研究发表于《自然代谢》杂志。

研究团队由高级作者Erica L. Scheller博士(DDS,Ph.D.)领导,成员包括曾为谢勒实验室研究生的肖·张博士(现为宾夕法尼亚大学医学院博士后)及舍勒实验室研究生斯里·帕尼克。谢勒表示:“我们约70%的骨髓充满对饮食和运动无反应的脂肪,我们想弄清楚原因。”
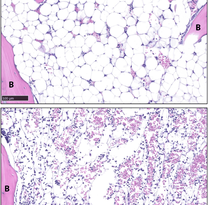
团队聚焦于构成性骨髓脂肪细胞,这些特殊细胞表达高水平的蛋白质,抑制脂肪分解,导致日常环境中脂肪减少的阻力。研究第一作者张称:“我们称这些细胞为稳定脂肪细胞。”在小鼠实验中,持续向大脑注射瘦素(一种激素),可使身体进入低葡萄糖和低胰岛素状态,解锁稳定脂肪细胞,降低脂肪分解抑制剂,让小鼠在正常进食的情况下,几天内体脂完全流失。
不过,科学家警告,这种途径极为强大,在尚未被充分理解之前,不要将其用于人类。稳定脂肪细胞存在于骨髓、手脚及重要腺体周围,在严重消瘦障碍中,这些细胞内脂肪的流失与骨折和生活质量下降有关。
谢勒团队希望通过定义稳定脂肪减少的机制,预防这种流失,维护严重消瘦症患者的健康,同时,激活顽固脂肪细胞脂肪流失的方法或可支持未来肥胖治疗。
出版详情:作者:Xiao Zhang等,标题:《控制适应性脂肪细胞脂解的儿茶酚胺非依赖途径》,发表于:《自然代谢》(2026),期刊信息:自然代谢














