意大利奥地利研究,AI软件Lunit预测乳腺癌风险
2026-03-10 11:14
收藏
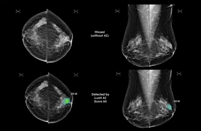
一项涉及6.7万名女性、超过13.5万次筛查性乳腺X光摄影的研究显示,人工智能软件Lunit Insight MMG的检查风险评分(ExRS)能有效预测后续筛查中的乳腺癌检测。该研究结果近期在欧洲放射学大会(ECR)上公布,平均随访时间为777天。

研究发现,在451名患上乳腺癌的女性中,基线平均ExRS为15.4,后续筛查ExRS为73.9;而未患乳腺癌的女性基线平均ExRS为6.7,后续筛查平均ExRS为6.4。意大利威尼托大区特雷维索卫生局放射科主任Clauda Maria Weiss医学博士及其同事指出:“AI衍生的ExRS能够在基线区分女性患乳腺癌风险的不同水平,并且这种能力在所有乳腺密度类别中保持一致。”
在患乳腺癌的女性中,乳腺不密实(BI-RADS类别A和B)的女性基线平均ExRS为13.8,后续筛查ExRS为73.7;乳腺密实(BI-RADS类别C和D)的女性基线平均ExRS为17.6,后续筛查ExRS为74.1。Weiss和同事补充道:“结果表明,ExRS也可用于筛查中基于风险的分层。”
相关推荐

沙特KFSH医院内部3D打印项目用于精准手术治疗
2026-04-26

西奈山与圭亚那卫生部合办人工智能医疗研讨会
2026-04-26

纳曲酮降低大脑情感强度
2026-04-26

非梗阻性肥厚型心肌病药物治疗临床证据评估
2026-04-26

生物制药色谱工程精度优化指南
2026-04-26

美国FDA批准首款基因疗法治疗遗传性听力损失
2026-04-26

FDA推RAPID加速突破性设备覆盖
2026-04-26

圣路加医院与德国ICPO在菲律宾试点治疗诊断学
2026-04-26

爱沙尼亚开发心力衰竭风险预测模型
2026-04-26

SKG Health在美推出新款便携按摩仪
2026-04-26
